Tag: obat gingivitis

Alami Gingivitis? Coba Pengobatan Rumahan Ini, Manjur Banget loh
Health

Alami Gingivitis? Coba Pengobatan Rumahan Ini, Manjur Banget loh

Minggu, 4 Februari 2018 | 19:39 WIB
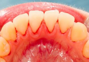
Gingivitis adalah salah satu jenis dari radang gusi yang pastinya sangat menyiksa. Inilah cara pengobatan rumahan untuk gingivitis. Manjur banget loh!
Selengkapnya
Alami Gingivitis? Coba Pengobatan Rumahan Ini, Manjur Banget loh
Health

Alami Gingivitis? Coba Pengobatan Rumahan Ini, Manjur Banget loh

8 Tahun yang lalu - Gingivitis adalah salah satu jenis dari radang gusi yang pastinya sangat menyiksa. Inilah cara pengobatan rumahan untuk gingivitis. Manjur banget loh!

Tag Popular

#berita artis hari ini

#Nathalie Holscher

#ngawi

#imlek

#tahun baru china

#bintang

#meninggal dunia

#Bandung

#Indonesia

#Aurel Hermansyah